BBCUrdu.com
  •    تکنيکي مدد
 
پاکستان
انڈیا
آس پاس
کھیل
نیٹ سائنس
فن فنکار
ویڈیو، تصاویر
آپ کی آواز
قلم اور کالم
منظرنامہ
ریڈیو
پروگرام
فریکوئنسی
ہمارے پارٹنر
آر ایس ایس کیا ہے
آر ایس ایس کیا ہے
ہندی
فارسی
پشتو
عربی
بنگالی
انگریزی ۔ جنوبی ایشیا
دیگر زبانیں
 
وقتِ اشاعت: Sunday, 14 May, 2006, 10:34 GMT 15:34 PST
 
یہ صفحہ دوست کو ای میل کیجیئے پرِنٹ کریں
دانتوں کے بارے میں احتیاط برتیں
 
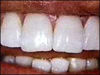
دانت
لوگوں کو دانتوں میں خلال کرنے کے حوالے سے تعلیم دینےکی ضرورت ہے
ایک سروے رپورٹ میں یہ بات سامنے آئی ہے کہ تقریبا ساٹھ فیصد سے زائد افراد دانتوں میں پھنسے ریشوں کو نکالنے کے لیے ہاتھ کے قریب پڑی مختلف چیزیں یہ جانے بغیراستعمال کرتے ہیں کہ وہ دانتوں کے لیے مضر ہو سکتی ہیں۔

عموما دیکھا گیا ہے کہ لوگ دانتوں کے درمیان واقع خلامیں پھنسی کھانے پینے کی اشیاء کے ریشوں کو باہر نکالتے وقت ہاتھوں کے قریب پڑی کوئی بھی چیز استعمال کر لیتے ہیں اور اس بات کا خیال نہیں رکھتے کہ طبی یا صحت کے اعتبار سے وہ چیز دانتوں کے لیے محفوظ ہے یا نہیں۔

سروے میں شامل لوگوں کے مطابق ان چیزوں میں سکریو ڈرائیور، قینچیاں، کانوں میں پہننے والی بالیاں، سویاں اور چھری وغیرہ شامل ہیں۔

سروے کے دوران 23 فیصد افراد کا کہنا تھا کہ انہوں نے ایسی اشیاء کو کھانا ترک کردیا جس کے دانتوں میں پھنسنے کا خطرہ ہو یا جس سے مسوڑھوں یا سانس سے بدبو آنے کی شکایت بڑھ جائے۔

یہ سروے برٹش ڈینٹل ہیلتھ فاؤنڈیشن کی جانب سے کیا گیا تھا جس کا مقصد لوگوں کی توجہ برطانیہ میں قومی ’مسکرانے کا ماہ‘ کے آغاز کی جانب مبذول کروانا ہے۔

برٹش ڈینٹل ہیلتھ فاؤنڈیشن کے چیف ایگزیکٹو ڈاکٹر نائجل کارٹر کا کہنا ہے کہ لوگوں کو دانتوں میں خلال کرنے کی اہمیت کے حوالے سے تعلیم دینےکی ضرورت ہے۔

ان کا کہنا ہے کہ خلال کرنا دانتوں کی صحت مندانہ روٹین کا ایک اہم حصہ ہے۔ اور دانتوں کو برش کرنے سے قبل دن میں کم از کم ایک مرتبہ خلال کرنا ضروری ہے۔ تاہم دانتوں کے درمیان خلا کی صفائی کرتے وقت انتہائی احتیاط کی ضرورت ہے اور اس کے لیے دانتوں کے لیے خلال کرنے والا مناسب آلہ استعمال کرنا چاہیے کیونکہ کسی غیر معیاری چیز سے یا پھر تیزی سے دانتوں میں خلال کرنے سے مسوڑھوں کے عضلات کو نقصان پہنچ سکتا ہے۔

دانتوں کے بارے میں احتیاط کی ضرورت ہے

ڈاکٹر کارٹر کا کہنا ہے کہ دانتوں میں پھنسے ریشوں یا چیزوں کو باہر نکالنے کا مناسب طریقہ یہ ہے کہ دانتوں میں خلال کے لیے لکڑی سے بنی ڈنڈیاں (سٹک) استمعال کی جائیں۔ انہوں نے خبردار کیا کہ کاک ٹیل سٹک دانتوں کے لیے مضر ہو سکتی ہیں۔

ان کا کہنا تھا کہ بعض افراد کے نزدیک سکریو ڈرائیور کی مدد سے دانتوں میں پھنسی چیزیں نکالنے کا خیال ایک لمحے کے لیےحیران کن ہو سکتا ہے لیکن حقیقیت میں یہ انتہائی پریشانی کی بات ہے کہ بہت سے لوگ بلا سوچے سجھے ہاتھ کے نزدیک پڑی چیزیں اس مقصد کے لیے استمعال کر لیتے ہیں۔

سروے میں شامل دیگر لوگوں نے بتایا کہ وہ دانتوں کے درمیان پھنسی چیزوں کو نکالنے کے لیے چابیاں، پیپر کلپ، ماچس کی تیلی، پینسل کارڈز اور کانٹے تک استعمال کرلیتے ہیں۔

 
 
اسی بارے میں
کوک کرے دانت خراب
12 March, 2004 | نیٹ سائنس
دانت اگائے جا سکیں گے
03 May, 2004 | نیٹ سائنس
تازہ ترین خبریں
 
 
یہ صفحہ دوست کو ای میل کیجیئے پرِنٹ کریں
 

واپس اوپر
Copyright BBC
نیٹ سائنس کھیل آس پاس انڈیاپاکستان صفحہِ اول
 
منظرنامہ قلم اور کالم آپ کی آواز ویڈیو، تصاویر
 
BBC Languages >> | BBC World Service >> | BBC Weather >> | BBC Sport >> | BBC News >>  
پرائیویسی ہمارے بارے میں ہمیں لکھیئے تکنیکی مدد