 |
 |  |  |  | PROGRAMME INFO |  |  | |
 |  |  | Frontiers explores new ideas in science, meeting the researchers who see the world through fresh eyes and challenge existing theories - as well as hearing from their critics. Many such developments create new ethical and moral questions and Frontiers is not afraid to consider these. radioscience@bbc.co.uk |  |  |  |  | LISTEN AGAIN 30 min |  |  | |
|
|
 |  |
|
 |
 |
 |
|
 |
|  |
 |  |  |  | PROGRAMME DETAILS |  |  | |
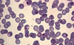
 |  |  | Malaria parasite
plasmodium falciparum trophozoites © Claire Rogers LSHTM
| Malaria Malaria is responsible for over a million deaths every year.
Genetic Mutation About 6,000 years ago humans gained some immunity to the disease through genetic mutations.
During the same era, the mosquito population soared. Mosquitos carry the parasite that causes malaria.
Could the two events be linked?
Yes, says Professor Sarah Tishkoff of the University of Maryland.
Anaemia The downside of this genetic mutation is that we are more susceptible to anaemia. In particular, sickle cell anaemia and thalassaemia, the subjects of David Weatherall's research.
|  |  |  | Anopheles gambiae (African malaria) mosquito bites Chris Curtis' arm © LSHTM
| Vaccine Professor Adrian Hill has been working to develop a malaria vaccine.
It's a struggle as the malaria parasite's genome is complex.
Larvae eaters An alternative approach is to kill the parasite-carrying mosquitoes that spread malaria.
Chris Curtis is breeding giant mosquitoes that feed on the larvae of these mosquitoes.
Next week: Clouds and cosmic rays |  |  |  RELATED LINKS Professor Sarah Tishkoff Professor Karen Day Professor David Weatherall Professor Adrian Hill Malaria Centre at London School of Hygiene and Tropical Medicine Chris Curtis BBCi Science
The BBC is not responsible for the content of external websites
 |  |
|  |
|