70 anos 1938-2008
Español
Português para a África
Árabe
Chinês
Russo
Inglês
Outras línguas
 
Atualizado às: 03 de dezembro, 2005 - 22h50 GMT (20h50 Brasília)
 
Envie por e-mail Versão para impressão
Radiografia ajuda a prever mortalidade por gripe aviária
 
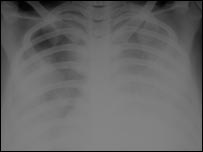
Radiografia de pulmão
As chapas de raio-x dos pacientes mostravam diferentes padrões de evolução da doença
Médicos da Universidade de Oxford anunciaram ter descoberto como prever o quão mortal é um caso humano de gripe aviária verificando uma radiografia do pulmão da pessoa infectada.

A descoberta está baseada na observação de 14 pessoas que receberam tratamento para a doença no hospital municipal de Ho Chi Minh, no Vietnã.

As chapas de raio-x dos pacientes mostravam diferentes padrões de evolução da doença. Segundo os radiologistas de Oxford, estes padrões podem indicar que tipo de tratamento cada paciente necessita.

Aqueles com danos pulmonares mais profundos podem precisar de um tratamento mais agressivo para aumentar a chance de sobrevivência, por exemplo.

“A anormalidade mais comum que encontramos era consolidação multifocal, que normalmente representa pus e infecções em pacientes com febre e tosse”, disse Nagmi Qureshi, especialista em radiologia da Universidade de Oxford, que analisou 98 radiografias de pulmão dos 14 pacientes.

Dos 14 pacientes estudados, nove morreram e cinco sobreviveram. Três dos pacientes que sobreviveram tiveram mais imagens tomadas do pulmão, com tomografia computadorizada, após receberem alta.

As imagens das tomografias mostraram que apesar de que os sintomas respiratórios desses pacientes haviam sido controlados, a aparência anormal dos pulmões persistia, sugerindo que a infecção havia provocado cicatrizes nos pulmões.

Qureshi afirmou em uma reunião da Sociedade Radiológica Norte-Americana que os resultados eram semelhantes aos verificados em pacientes com Sars (Síndrome Respiratória Aguda Grave).

“Porém anormalidades adicionais que descobrimos em pacientes de gripe aviária, incluindo líquidos no espaço em volta do pulmão, nódulos linfáticos aumentados e cavidades formadas no tecido do pulmão, não apareciam em pacientes com Sars”, disse.

Os sintomas da gripe aviária em humanos variam desde sintomas de gripe comum – febre, tosse, garganta irritada e dores musculares – a infecções oculares, pneumonia, doenças respiratórias agudas e outras complicações graves.

Até agora, poucos humanos foram infectados com a gripe aviária, porque só se conhecem casos de transmissão do vírus da doença de pássaros para humanos. Mas a Organização Mundial da Saúde teme que o vírus sofra mutações e passe a ser transmitido entre humanos, provocando uma pandemia.

Para o professor Peter Openshaw, chefe do setor de infecções respiratórias no Instituto Nacional de Coração e Pulmão do Imperial College, em Londres, o pequeno número de pessoas infectadas também significa que há poucos exemplos para que os médicos estudem.

“É impossível saber o risco que haverá para as pessoas após a mutação do vírus até que ele sofra essa mutação”, disse. “Não sabemos quais os melhores tratamentos.”

Para as pessoas infectadas pela doença até agora, os principais tratamentos têm sido para controlar ou prevenir as complicações, como problemas respiratórios.

“Está claro que os remédios anti-virais deveriam ser usados num estágio inicial e que são muito eficientes em eliminar o vírus. Mas eles não necessariamente previnem as complicações de falência respiratória, por exemplo”, disse Openshaw.

“Parece que uma série de eventos imunológicos são provocados pelo vírus mesmo quando ele é eliminado”, disse. “E ainda não sabemos se os esteróides são benéficos ou prejudiciais. É possível que muitos dos efeitos de longo prazo verificados na epidemia de Sars tenham sido causados por esteróides e poderiam ter sido evitados.”

 
 
66OMC
Palocci espera que países ricos salvem rodada de Doha
 
 
NOTÍCIAS RELACIONADAS
Acordo quer acelerar vacina para gripe aviária
18 de novembro, 2005 | Ciência & Saúde
EUA investigam anti-gripal após 12 mortes de crianças
17 de novembro, 2005 | Ciência & Saúde
Gripe aviária mata mais duas pessoas na Indonésia
17 de novembro, 2005 | Ciência & Saúde
Saiba mais sobre a gripe aviária
16 de novembro, 2005 | Ciência & Saúde
LINKS EXTERNOS
A BBC não se responsabiliza pelo conteúdo dos links externos indicados.
ÚLTIMAS NOTÍCIAS
 
 
Envie por e-mail Versão para impressão
 
Tempo | Sobre a BBC | Expediente | Newsletter
 
BBC Copyright Logo ^^ Início da página
 
  Primeira Página | Ciência & Saúde | Cultura & Entretenimento | Vídeo & Áudio | Fotos | Especial | Interatividade | Aprenda inglês
 
  BBC News >> | BBC Sport >> | BBC Weather >> | BBC World Service >> | BBC Languages >>
 
  Ajuda | Fale com a gente | Notícias em 32 línguas | Privacidade