BBCBrasil.com
70 anos 1938-2008
Español
Português para a África
Árabe
Chinês
Russo
Inglês
Outras línguas
 
Atualizado às: 19 de fevereiro, 2004 - 21h09 GMT (18h09 Brasília)
 
Envie por e-mail Versão para impressão
Médicos encontram 350 moedas no estômago de um francês
 
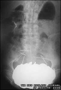
Moedas
O homem engoliu moedas avaliadas em cerca de R$ 2,3 mil
Médicos na França encontraram 350 moedas, além de colares e agulhas, na barriga de um homem que chegou em um hospital reclamando de dores no estômago.

O paciente, de 62 anos, estava com o estômago inchado e não conseguia comer ou ir ao banheiro.

A equipe médica ficou espantada quando efetuou um raio-x e descobriu uma massa de 5,5kg, o equivalente a uma bola de boliche, no estômago do francês.

A família do paciente já havia advertido os médicos que ele tinha uma história de doenças psiquiátricas e que mantinha o hábito de engolir moedas.

De fato, os médicos tinham retirado algumas moedas do estômago do homem em visitas anteriores ao hospital.

Hábito

Os cirurgiões descobriram moedas avaliadas em cerca de R$ 2,3 mil.

Eles acreditam que o homem engoliu as moedas durante um período de dez anos.

As moedas pesavam 5,5kg
As moedas pesavam 5,5kg

As moedas e os outros objetos encontrados eram tão pesados que fizeram o seu estômago baixar até ficar à altura dos quadris.

"Ele gosta de comer moedas", disse o médico Bruno François, que tratou o homem.

"Quando ele era convidado para algumas casas, gostava de roubar moedas e comê-las."

François revelou detalhes do caso em uma carta ao New England Journal of Medicine.

"Esse caso serve para chamar a atenção a fatores importantes que deviam ser levados em conta no tratamento de pacientes que são mentalmente desequilibrados", disse o médico Lindesey Baden, um dos editores do jornal.

Doença

Os médicos dizem que o francês sofria de uma doença rara chamada "pica" – uma compulsão para comer coisas normalmente não consumidas como alimento.

O nome provém da palavra latina Pega, nome de um pássaro que se pensa ser capaz de comer qualquer coisa.

A doença pode assumir a forma de consumo de imundices, cinzas, giz, cabelo, sabão, escovas de dentes, fósforos queimados e outros objetos.

Enquanto muitos são expelidos pelo do corpo naturalmente, outros precisam ser removidos cirurgicamente.

François disse que uma vez tratou um doente que engoliu garfos.

 
 
LINKS EXTERNOS
 
A BBC não se responsabiliza pelo conteúdo dos links externos indicados.
 
ÚLTIMAS NOTÍCIAS
 
 
Envie por e-mail Versão para impressão
 
Tempo | Sobre a BBC | Expediente | Newsletter
 
BBC Copyright Logo ^^ Início da página
 
  Primeira Página | Ciência & Saúde | Cultura & Entretenimento | Vídeo & Áudio | Fotos | Especial | Interatividade | Aprenda inglês
 
  BBC News >> | BBC Sport >> | BBC Weather >> | BBC World Service >> | BBC Languages >>
 
  Ajuda | Fale com a gente | Notícias em 32 línguas | Privacidade