BBCPersian.com
  •    راهنما
تاجيکستان
پشتو
عربی
آذری
روسی
اردو
 
به روز شده: 19:17 گرينويچ - چهارشنبه 25 فوريه 2004
 
اين صفحه را برای دوستان خود بفرستيد صفحه بدون عکس
پوسيدگی دندان ميلياردها نفر را آزار می دهد
 
.
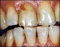
بيماری های دهان در کشورهای پيشرفته نيز شايع است
سازمان بهداشت جهانی اعلام کرده است که بنابه تخمين کارشناسان اين سازمان، پنج ميليارد نفر در سراسر جهان از پوسيدگی دندان رنج می برند.

پوسيدگی دندان و بيماری های لثه يک معضل عمده بهداشتی در کشورهای صنعتی است و در کشورهای در حال توسعه تهديدی روزافزون به حساب می آيد.

کارشناسان می گويند که بسياری از مردم اين مساله را که بهداشت دهان می تواند بر طول عمر بيافزايد و کيفيت زندگی را بهبود بخشد، تشخيص نمی دهند.

ريختن دندان ها معمولا به سوءتغذيه و در پی آن به مجموعه ديگری از ساير مشکلات بهداشتی منجر می شود.

گزارش تازه سازمان بهداشت جهانی تخمين می زند که معالجه بيماری های دهان در مجموع 10 درصد کل هزينه های بهداشتی در کشورهای صنعتی را تشکيل می دهد و می گويد تقبل چنين هزينه ای برای برخی از کشورهای در حال توسعه ممکن نيست.

دکتر پول اريک پترسون، از برنامه بهداشت دهان سازمان بهداشت جهانی گفت: "ضعف بهداشت دهان می تواند تاثيری جدی بر سلامت عمومی فرد و کيفيت زندگی او بگذارد."

وی افزود: "درد، آبسه شدن دندان، مشکل در خوردن و جويدن و همچنين افتادن و آسيب ديدن دندان ها، تاثير عمده ای بر زندگی روزمره و سلامت فرد دارد."

دکتر کاترين لی گيلز-کاموس، همکار آقای پترسون، نيز گفت بسياری از مردم ريختن دندان ها را يک امر طبيعی و ناشی از پيری می دانند، درحالی که در بسياری از موارد قابل پيشگيری است.

وی گفت: "اين تصور وجود دارد که پوسيدگی دندان از مشکلاتی است که جهان پيشرفته حل کرده است، درحالی که 60 تا 90 درصد دانش آموزان و اکثريت بزرگسالان از آن رنج می برند."

عوامل بيماری لثه
سيگار کشيدن
تنباکو جويدن
انفيه کشيدن (گرد تنباکو)
کم همتی در زدن مسواک و نخ کشيدن
عدم مصرف کلسيم به مقدار کافی
زياده روی در مصرف الکل

به گفته او، پوسيدگی دندان همچنين عمده ترين بيماری دهان در چندين کشور آسيايی و آمريکای لاتين است.

سازمان بهداشت جهانی می گويد علائم تورم لثه در اکثر کودکان سراسر جهان به چشم می خورد و تقريبا 15 درصد جمعيت اکثر کشورها به بيماری حاد لثه که می تواند باعث ريختن دندان ها شود مبتلا هستند.

تحقيقات نشان می دهد که در کشورهای صنعتی، کشيدن سيگار از عوامل اصلی ابتلا به بيماری لثه است.

بيماری های دهان و دندان ظاهرا در آفريقا خفيف تر است. اما سازمان بهداشت جهانی می گويد که مصرف فزاينده شيرينی و نارسايی در زمينه شست و شوی دهان با فلورايد، به زودی اوضاع را بدتر خواهد کرد.

سرطان دهان

سازمان بهداشت جهانی همچنين نگران سطح بالای سرطان دهان است. سرطان دهان عموما در مردها ظاهر می شود، عمدتا به اين دليل آنها بيش از زن ها سيگار می کشند.

در آسيای جنوب مرکزی، که جويدن نوعی ميوه مغزدار شديدا سرطان زا ميان مردم متداول است، سرطان دهان يکی از سه نوع سرطان شايع به حساب می آيد.

با اين حال افزايش شديدی در ابتلا به سرطان دهان و حلق در کشورهای صنعتی از جمله در دانمارک، آلمان و اسکاتلند و تا حدود کمتری در استراليا، زلاندنو، ژاپن و آمريکا گزارش می شود.

اين پديده می تواند تا حدودی ناشی از مصرف بالای الکل باشد. دانشمندان معتقدند که ترکيب تنباکو و الکل می تواند خطر ابتلا به سرطان دهان را افزايش دهد.

 
 
اخبار روز
 
 
اين صفحه را برای دوستان خود بفرستيد صفحه بدون عکس
 
 
   
 
BBC Copyright Logo بالا ^^
 
  صفحه نخست|جهان|ايران |افغانستان |تاجيکستان |ورزش |دانش و فن |اقتصاد و بازرگانی |فرهنگ و هنر |ویدیو
روز هفتم |نگاه ژرف |صدای شما |آموزش انگليسی
 
  BBC News >>|BBC Sport >>|BBC Weather >>|BBC World Service >>|BBC Languages >>
 
  راهنما | تماس با ما | اخبار و اطلاعات به زبانهای ديگر | نحوه استفاده از اطلاعات شخصی کاربران