BBCNazer.comBBCNazer.comBBC World Service Trust
  •    مرسته
RELATED SITES
CBEEBIES
CBBC
BBC CHILDREN
 
د خپريدو وخت:
 
دا پاڼه کوم ملگري ته ولېږئ چاپي بڼه
صحت و زندگی: دندان کشيدن در کودکان
 

 
 
برس کردن دندان در حفاظت دندان ها کمک می کند.

کودکان اکثرا از ٧ ماهگی شروع به دندان کشيدن می کنند و مرحله دندان کشندن چند سال اول حيات آنها را در بر می گيرد تا اين که دندان هايشان پوره می شود.

مجموعا شخص سالم و بالغ ٣٢عدد دندان دارد.

٢عدد دندان الاشه بالايی و ٢عدد دندان الاشه پايانينی را مردم به نام عقل دندان ياد می کنند، اين دندان ها بين سنين ١٦تا ٤٠سالگی، سر می زنند.

قرار احصاييه که از مسوولين شفاخانه صحت اندراگاندی، درشهر کابل، روزانه اضافه تر از ٢٠طفل مريض بين سنين ٦ماه تا ٢سال با امراضی گونه گون، چون:

آيا واقعا چنين است؟
دندان کشيدن در کودک
  هنگام دندان کشيدن کودک، اگر عمه بزرگ يا مامای طفل انگشت شهادتش را به بيره های کودک بمالد، او آسان تر دندان می کشد .
 
از عقايد مردم

اسهال، استفراغ، تب، گلو دردی و شاريدگی دهن به شفاخانه آورده می شوند.

اما اکثر از مادران به اين عقيده اند که سرزدن و برآمدن دندان ها، دليل اصلی بيماری کودک شان محسوب می شود.

ولی داکتران هيچگونه رابطه را ميان بيماری اطفال و دندان کشيدن شان نمی بينند.

دکتران، دندان کشيدن کودکان را يک امر طبيعی دانسته و می گويند:

سرزدن دندان، باعث هيچ مريضی برای اطفال نمب گردد، بلکه دست های آلوده را به دهن بردن، موجب بيماری کودک شده می تواند.

به قول داکتر طاهر هاشمی، چون بيره های کودکان در اين حالت خيلی سوزش و خارش می داشته باشد، لذا کودک هر چيزی را که به دستش می رسد به طرف دهنش می برد.

بعضا ديده شده کودکانی که تازه به راه رفتن آغاز می کنند، حتی بوت های ناپاک اعضای خانواده را نيز به دهن برده می مکند .

با دندان هايم چه کنم؟
نوعی از آفت دندان
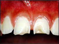
 يکی از آفاتی دندان که اطفال بيشتر به آن مصاب می شوند، سياه شدن و ريختن دندان های اطفال است.
 

چه اين همه مکروبها داخل دهن کودکان شده و باعث بيماری نزد آنها می شود.

بسياری از خانواده ها در موقع دندان کشيدن طقل، تداوی های خانگی مختلفی را به کار می بندند، مثلا :

به دست اطفال شان ران مرغی که کمی سخت باشد، نوش پياز يا ملی سرخک يا گوشتی را که اندکی پی داشته باشد می دهند.

آنها بعضا چنين عقيده دارند که اگر عمه بزرگ يا مامای طفل انگشت شهادتش را به بيره های کودک بمالد، طفل آسان تر دندان می کشد .

و اما دکتوران با رد اين عقيده می گويند: اين کار زمينه داخل شدن مکروبهای بيشتر را به دهن طفل مساعد می کند .

فقط به کودک بايد غذای مناسب و کلسيم دار مثل شير، ماست، قيماق، پنير و غذا های قوی مثل گوشت، لوبيا، نخود و دال داده شود.

همين گونه از همه اولتر بايد حفظ الصحه طفل در نظر گرفته شود و مادران نيز بايد در دوران بار داری وشيردهی از غذا های کلسيم دار وخوراک های قوی استفاده نمايند .

شما هم دندان های سالم داريد؟
اطفال دندان های شان را برس می زنند.
 اطفال بايد پس از هر وقت غذا خوردن، دندان های شان را برس کنند و پس از نوع شيرينی خوردن مقداری چای يا آب بنوشند تا از آفات دندان محفوظ بمانند.
 

پس از اين که اطفال دندان می کشند، خوب است که والدين متوجه بهداشت دندان های کودکان شان باشند،

يعنی از همان آوان کودکی، آنها را با برس کردن دندان های شان بعد از هر غذا، آشنا سازند و بعد از خوردن شيرينی باب ، اطفال را مقداری آب يا چای بنوشانند .

يکی ديگر از آفاتی دندان که اطفال بيشتر به آن مصاب می شوند، سياه شدن و ريختن دندان های اطفال است.

همين طور عدم مراقبت درست مادر در زمان بار داری و شير دهی و استفاده نا درست از يک برنامه غذايی، همه دست به دست هم داده و زمينه خراب شدن دندان های اطفال را مهيا می سازند .

دکتوران عقيده دارند که جلو گيری از خوردن دوا های خود سرانه در زمان بارداری مادران و يا هم کودک جدا منع شده است.

اگر اطفال از شکستاندن چيز های سخت با دندان هايشان جلو گيری کنند, دندان هايشان را بعد از خورد هر وقت غذا برس بزنند.

همين سان مادران بيشتر توجه شان را به خوردن غذای های کلسيم دار و مناسب کودکان داشته باشند که اين خود باعث می گردد تا اطفال شان دندان های سالم داشته باشند.

دندان ها با کودکان حرف می زنند.
در حفظ الصحه ما بگوشيد، زيرا ما در زيبای شما نقش مهمی داريم.

به اطفال بايد آموخت هر گه دندان شان را لق می يابند نبايد به دندان شان دست زنند.

کودکان بگذارند تا دندان شان، خود بی افتد، زيرا دندان نوی که سرمی زند، مواد مفيده را از دندان قبلی جذب کرده قوی تر می برآيد.

 
 
تاخير در عادت ماهوارصحت و زندگی
تاخير در عادت ماهوار
 
 
اسهالصحت و زندگی
اسهال
 
 
قاعدگی در زنانصحت و زندگی
قاعدگی يا عادت ماهوار
 
 
ماشين التراسوند يا معاينات تلويزيونیصحت وزندگی
اکسريز و معاينات تلويزيونی
 
 
مننجيتصحت و زندگی
مننجيت
 
 
پيرمرد در حال بستر در بيمارستانصحت و زندگی
زخم بستر
 
 
نور خبرونه
 
 
دا پاڼه کوم ملگري ته ولېږئ چاپي بڼه
 
 
 
 
BBC Copyright Logo ^^ سرپاڼه
 
  لومړى مخ | نوى کور نوى ژوند | زمونږ نړۍ زمونږ راتلونکې | ژوند او زده کړه
خانه نو زندگى نو | جهان ما اينده ما | زندگى و آموزش
راډيوي پروگرامونه | نشريات | انځور/ عکس | له مونږ سره اړيکه | زموږ په اړه
 
  BBC World Service >> | BBC World Service Trust >>